- Home
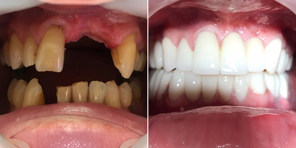
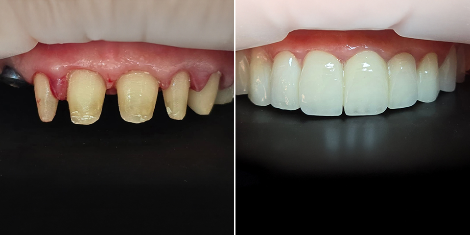
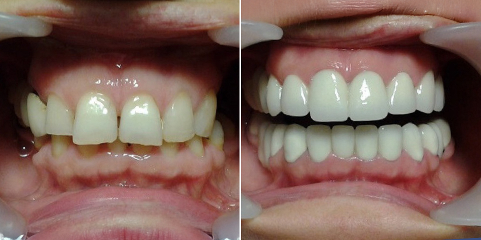
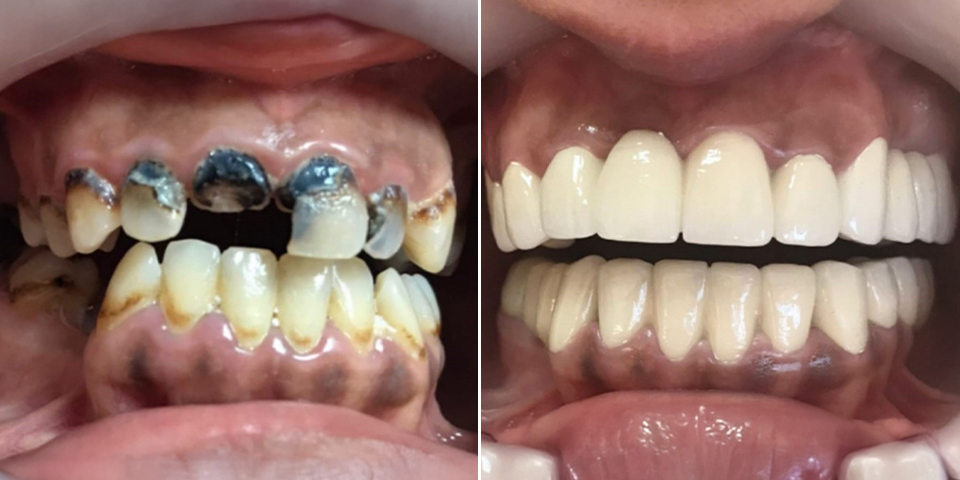
- Before & After
Before & After
With modern technology and our expert team, we provide safe and aesthetic solutions.
PHONE NUMBER
+90 545 499 99 50
E-MAIL
info@dentislandkusadasi.com
ADDRESS
Turkmen Mah. 50. Yıl Caddesi No : 27/1-2 Kuşadası, Aydın, Türkiye
WORKING HOURS
Monday-Friday: 9:00 AM - 6:00 PM
Saturday: 9:00 AM - 4:00 PM
Sunday: Closed
Contact
You can review our contact details to reach us and easily find our clinic.